What Does Feline Mouth Cancer Look Like - Oral Tumors In Cats Centennial Animal Hospital / This is the most common oral tumor of cats.
Dapatkan link
Facebook
X
Pinterest
Email
Aplikasi Lainnya
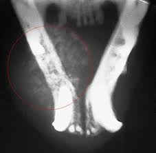
What Does Feline Mouth Cancer Look Like - Oral Tumors In Cats Centennial Animal Hospital / This is the most common oral tumor of cats.. Lymphoma is by and large the most common cancer that affects cats, although there are other types of feline cancers that can affect domestic cats. Both types of tumors cause these symptoms: Theresa arteaga , dvm, dacvium (oncology), owner of animal cancer center in monterey, california. A canker sore looks like an ulcer, usually with a depression in the center. Squamous cell carcinoma in cats is unique in that we know that exposure to cigarette smoke is a strong risk factor.
Canker sores have a distinct look that is fairly easy to recognize if you know what to look for. Skin cancer in cats can take many different forms, including lesions, ulcers, scabs, warty lumps and bumps on the skin. Health scotland and glasgow dental hospital learn more about reducing the risk of oral cancer If you find a cat with a mass growing anywhere in the mouth (lips, gums, palate, etc) we assume it is a squamous cell carcinoma until proven otherwise. Most types of throat cancers begin in squamous cells that look like thin scales.
Common Cancers In Older Cats Symptoms And Treatments Bechewy from media-be.chewy.com The exact cause of mouth cancer in cats remains unknown. The head, legs, in the mouth and anywhere else on its body. Oropharyngeal (oral cavity and pharynx) cancer is 2.6 times more common in dogs. Skin cancer in cats can take many different forms, including lesions, ulcers, scabs, warty lumps and bumps on the skin. It is the most common oral cancer in cats. However, there is always a high chance of treating it if it is detected early. When you look at them closely, they have tiny lines resembling fish scales. Health scotland and glasgow dental hospital learn more about reducing the risk of oral cancer
Like other types of cancer, it does not have a cure, and it can be fatal.
Squamous cell carcinoma is a highly aggressive form of oral cancer in cats, and it can be difficult to detect since felines are notoriously furtive about showing signs of illness. As with any disease of its kind, keeping informed can help you decipher what to do should a tumor linger in your dog's mouth, and even prevent it from. Accounts for 3% of all cancers. Lymphoma is by and large the most common cancer that affects cats, although there are other types of feline cancers that can affect domestic cats. Sores, lumps, a strange odor, bleeding, or a change in gum color can be a sign of oral cat cancer, particularly in older cats. The swelling may look like normal gum tissue or be inflamed, bleeding or have a dark discoloration. What some oral (mouth) cancers look like these photographs are not meant to scare you. Like other types of cancer, it does not have a cure, and it can be fatal. Recently, oral cancer has become quite popular. Feline oral squamous cell carcinoma is often seen in older cats. Both types of tumors cause these symptoms: Canker sores can be found anywhere in the mouth from the cheek, inner lip, on and under the tongue, and even in the throat. These cells can develop cancer in your cat's mouth or on her body.
Abnormal cell growth usually appears as flat patches. Like other types of cancer, it does not have a cure, and it can be fatal. How common is mouth cancer in cats? Tobacco use, whether smoking or chewing, can also lead to cancer of the lips (as well as other mouth cancers). Squamous cell carcinoma is a highly aggressive form of oral cancer in cats, and it can be difficult to detect since felines are notoriously furtive about showing signs of illness.
Cat Mouth Cancer from cdn.wamiz.co.uk Skin cancer in cats can take many different forms, including lesions, ulcers, scabs, warty lumps and bumps on the skin. This cancer sign in cats often goes unnoticed for too. They may be black, brown, grey, pink or red in colour. As with any disease of its kind, keeping informed can help you decipher what to do should a tumor linger in your dog's mouth, and even prevent it from. These cells also line interior passages of the respiratory and digestive tracts. The rate of metastasis at the time of diagnosis is low. The head, legs, in the mouth and anywhere else on its body. These lumps can appear anywhere on the cat's body:
They may also become infected.
Skin cancer in cats can take many different forms, including lesions, ulcers, scabs, warty lumps and bumps on the skin. Signs and symptoms of mouth. It is easy to see the leukoplakia under imaging test. Sores, lumps, a strange odor, bleeding, or a change in gum color can be a sign of oral cat cancer, particularly in older cats. Canker sores have a distinct look that is fairly easy to recognize if you know what to look for. Most types of throat cancers begin in squamous cells that look like thin scales. In more advanced cases, there may be a lump or swelling. Summary mouth cancer can appear on the lips or anywhere in the mouth, including the tissues inside the cheeks, the tongue, and the gums. Your vet will do a thorough physical examination, including an examination of the inside of your cat's mouth. As with any disease of its kind, keeping informed can help you decipher what to do should a tumor linger in your dog's mouth, and even prevent it from. Symptoms of fibrosarcoma in cats the cat's owner is most likely to notice lumps just underneath the surface of the cat's skin. What does throat cancer look like? Compared to cats, and male dogs have a 2.4 fold greater risk of developing oral cancer compared to female dogs.
Lymphoma is by and large the most common cancer that affects cats, although there are other types of feline cancers that can affect domestic cats. It is the most common oral cancer in cats. What does cancer in a cat's mouth look like? Mouth cancer is a rare, but present—and potent—disease affecting dogs and their owners today. Like other types of cancer, it does not have a cure, and it can be fatal.
Oral Tumors In Cats An Overview Vca Animal Hospital from vcahospitals.com Squamous cell carcinoma is a highly aggressive form of oral cancer in cats, and it can be difficult to detect since felines are notoriously furtive about showing signs of illness. What does cancer in a cat's mouth look like? Feline oral squamous cell carcinoma is often seen in older cats. Sometimes, throat cancer looks like white patch of tissue, also known as leukoplakia. Squamous cell carcinoma in cats is unique in that we know that exposure to cigarette smoke is a strong risk factor. Compared to cats, and male dogs have a 2.4 fold greater risk of developing oral cancer compared to female dogs. Signs and symptoms of mouth. Signs and symptoms of oral growths in cats whether an oral mass is cancerous or not, the signs and symptoms will be very similar.
A canker sore looks like an ulcer, usually with a depression in the center.
These lumps can appear anywhere on the cat's body: The exact cause of mouth cancer in cats remains unknown. The swelling may look like normal gum tissue or be inflamed, bleeding or have a dark discoloration. We have included some pictures below of canker sores that you can look at to help you determine if you truly have a canker sore. Oropharyngeal (oral cavity and pharynx) cancer is 2.6 times more common in dogs. Cats with lung cancer will have rapid and labored breathing. Lip cancer lesions can develop anywhere on your lips, but they are most likely to occur on your lower lip. Look out for any unusual lumps and bumps on your cat and seek veterinary help if you find anything unusual. The following are some mouth cancer pictures that can help you in knowing what does mouth cancer look like. Like other types of cancer, it does not have a cure, and it can be fatal. With no determined cause, mouth cancer in dogs has left even subject matter experts baffled. Squamous cell carcinoma is a highly aggressive form of oral cancer in cats, and it can be difficult to detect since felines are notoriously furtive about showing signs of illness. In this blog, we will discuss the infection in detail, hoping the information will help you make the right decisions.
Build and engage with your professional network. 29.11.2021 · adidas has announced a partnership with major crypto exchange coinbase while also claiming real estate within popular metaverse platform the sandbox, but details to both deals are scarce for now. Erin trains and speaks on social media around the world focusing on strategy, instagram and marketing for blockchain, cryptocurrency and events. Click to share on linkedin (opens in new window) click to share on twitter (opens in new window) click to share on facebook (opens in new window) click to share on pinterest (opens in new window) related. Whoever can verify a transaction first by solving the math problem is presented with a freshly minted new. 1080x2240 Crypto Apex Legends 4k Logo 1080x2240 Resolution Wallpaper Hd Minimalist 4k Wallpapers Images Photos And Background Wallpapers Den from images.wallpapersden.com ...
Converter mobile apps blockchain explorer interest jobs board. Also, be sure to check out new icons and popular icons. Coin market cap, all cryptocurrency price charts, historical chart/data, prediction, candlestick chart, widget & many more. Cryptocurrency is a digital currency that is exchanged between peers without the need of a third party, like a bank. View the full list of all active cryptocurrencies. What is a Stablecoin and Does the Crypto Market Need Them? from cdn.investinblockchain.com Contains gold coin, money, exchange, cash, dollar, wallet, digital currency, mining, calculator, security, cloud storage, smartphone and computer icons. These free images are pixel perfect to fit your design and available in both png and vector. Free airdrops ico calendar polkadot parachains events calendar. This means, unlike digital currenci...
Cryptocurrency mining concept with people working mining bitcoins on laptop digital currency investment finance and trading can used for web banner landing page modern flat vector illustration. And @chrismeaney talk that awful derrick henry, goldschmidt. Download over 23,258 icons of cryptocurrency in svg, psd, png, eps format or as webfonts. This is an ethereum gold cryptocurrency coin vector illustration. Pack of 3d crypto currency coins. Cryptocurrencies Bitcoin Blue Logo Png Png Image Transparent Png Free Download On Seekpng from www.seekpng.com Cryptocurrency mining concept with people working mining bitcoins on laptop digital currency investment finance and trading can used for web banner landing page modern flat vector illustration. Golden bitcoin flying over white background realistic 3d coin with cryptocurrency logo. This is an et...
Komentar
Posting Komentar